
Before & After:
Transform Your Smile.
Transform Your Life.
World-class Cosmetic & Innovative Dentistry in Costa Rica — Beautiful Restorations at a fraction of U.S. and Canadá prices!
At Cosmetic and Innovative Dentistry in Costa Rica, we transform lives—one smile at a time. Patients from the United States, Canada, and around the world trust us for innovative dental implants, beautiful zirconia restorations, porcelain veneers, personalized care, and proven results.
Explore real patient transformations using the most advanced technology at the best prices—and imagine what we can do for your smile.
Why Choose Us
At Cosmetic and Innovative Dentistry Costa Rica, we specialize in high-end cosmetic dental treatments for patients seeking life-changing results.
✅ Internationally trained, bilingual dentists
✅ Cutting-edge technology (3D scans, digital smile design, porcelain veneers, zirconia crowns)
✅ State-of-the-art clinic with U.S.-level standards
✅ Personalized care — from virtual consultation to your safe recovery back home
Before & After Cases
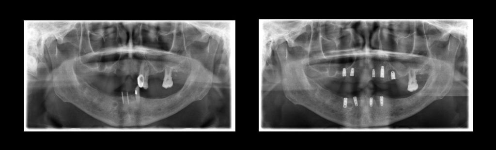
Case Study: Dental Implants & All - On - 4 /6
Before: The patient presented with severe bone loss, multiple missing teeth, and failing restorations. Daily chewing and speaking were difficult, and confidence was significantly affected.
Treatment: A full-arch rehabilitation using the All-on-4/6 dental implant technique was performed. Strategic implants were placed to maximize bone support and provide a stable foundation for a complete set of fixed teeth.
After: The patient regained full function, stability, and a natural-looking smile. The new teeth not only improved chewing ability but also restored confidence and quality of life. This transformation shows how advanced implant solutions can replace an entire arch and deliver long-lasting results.


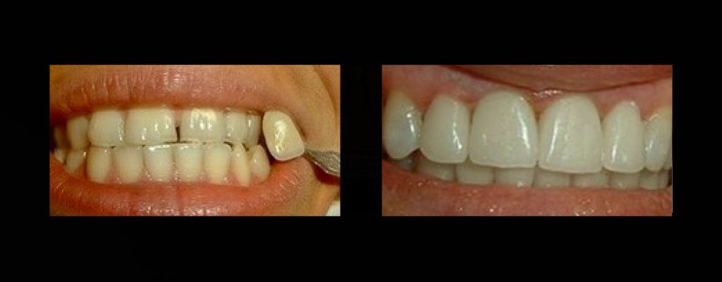
Case Study: Porcelain Veneers & Crowns
Our porcelain veneers and crowns are designed to correct a wide range of dental concerns — from discoloration and staining to chips, gaps, and uneven teeth. Each case is unique, but the results are always the same: a natural, radiant, and confident smile.
Before: Patients came to us with stained, worn, or misaligned teeth that affected their confidence and ability to smile freely.
Treatment: Using advanced digital smile design, we crafted custom porcelain veneers and crowns tailored to each patient’s facial features and expectations.
After: Bright, even, and youthful smiles that look natural and restore self-confidence in both personal and professional life.




Case Study: ZOOM! Advanced Whitening by Philips
Our professional ZOOM Whitening treatments deliver dramatic, visible results for patients struggling with stains and discoloration. Whether caused by coffee, wine, aging, or daily habits, this advanced whitening technology by Philips can white your teeth 8 shades, in just 45 min..just one visit.
Before: Patients arrived with yellowed or stained teeth that dulled their smiles and made them feel self-conscious.
Treatment: In-office ZOOM Whitening was performed under the supervision of our cosmetic specialists, ensuring safe, effective, and long-lasting results.
After: Noticeably whiter, brighter smiles with improved confidence and a more youthful appearance.



Case Study: Endodontics - Root Canal Treatment
Before: The patient was diagnosed with asymptomatic apical periodontitis in multiple teeth. The condition showed radiographic signs of infection at the root apex, though without significant pain at the time of diagnosis.
Treatment: A complete root canal therapy was performed using advanced instrumentation (WaveOne Gold system), active irrigation protocols, and biocompatible sealing materials. This ensured thorough cleaning, disinfection, and sealing of the canals to prevent reinfection.
After: The final radiograph shows well-sealed canals and elimination of the infected tissue. This treatment preserved the natural teeth, relieved the risk of future pain, and restored full dental function — avoiding the need for extraction and maintaining the patient’s oral health.

Case Study: Endodontics - Root Canal Therapy
Before: The patient presented with symptomatic apical periodontitis, showing infection at the root tip and discomfort when chewing. Radiographic analysis confirmed the need for endodontic treatment to eliminate the infection and preserve the tooth.
Treatment: Root canal therapy was carried out using modern techniques, including advanced rotary instrumentation (WaveOne Gold), active irrigation solutions (NaOCl, EDTA), and biocompatible sealing with AH Plus resin. This ensured complete cleaning, disinfection, and sealing of the canals.
After: The final radiograph demonstrates a properly sealed root canal, elimination of the infected tissue, and restoration of tooth stability. The treatment successfully relieved pain, saved the natural tooth, and protected the patient from future complications.

Case Study: Endodontics - Root Canal Therapy
Before: The patient was diagnosed with asymptomatic irreversible pulpitis in a lower molar. Although pain was not acute at the moment, radiographic evaluation confirmed irreversible inflammation of the pulp tissue, requiring endodontic treatment to prevent infection and tooth loss.
Treatment: Root canal therapy was performed using advanced rotary instrumentation (WaveOne Gold system), active irrigation with NaOCl and EDTA, and precise obturation with AH Plus resin. The procedure ensured thorough cleaning, shaping, and sealing of the root canals.
After: The final radiograph shows a well-sealed root canal system with complete disinfection. The tooth was preserved, stabilized, and restored to full function, preventing future complications and eliminating the risk of infection.

